失った歯を補うための
効果的な治療法
Bridge Treatment
補綴のプロによるブリッジ治療で
快適な生活を
日本補綴歯科学会の認定医よる
ブリッジ治療
新座駅南口通り歯科の院長、佐藤雅介は、日本補綴歯科学会の認定医の資格を有しており、詰め物や被せ物、ブリッジ、義歯のプロとしてクオリティの高い補綴治療をご提供しています。そのため、ブリッジ治療を安心して受けることができます。
糖尿病や心疾患、高血圧などの持病をお持ちの方や、インプラント治療に不安を感じる方で、歯が欠損していてブリッジ治療をご検討中の方は、お気軽にご相談ください。
ブリッジ治療とは?

ブリッジ治療は、失った歯を補うための効果的な方法です。
隣接する健康な歯を支えとして、人工歯を設置することで、自然な見た目と機能を取り戻すことができます。
当院では、患者さま一人ひとりに合わせた最適なブリッジ治療を提供しています。
こんな方はブリッジがおススメです!
1
歯を失った部分が限られている方
2
インプラント治療が怖いと感じる方
3
外科手術を避けたい方
4
糖尿病や高血圧などの病気を持っている方
5
>自然な噛み心地を求める方
ブリッジの生存率について

ブリッジ治療の生存率は、その設置方法や患者さんの口腔衛生、歯科医の技術に大きく影響されます。一般的に、適切なケアと定期的なメンテナンスが行われれば、ブリッジは長期間にわたって機能し続けることができます。
- 初期成功率
ブリッジ治療は通常、95%以上の初期成功率を持っています。これは、治療直後にブリッジが正常に機能し、患者さんに適切にフィットすることを示しています。 - 長期生存率
ブリッジの長期生存率は約10年間で85%以上とされています。これは、歯科医師による適切な治療と適切な口腔ケアと定期的な歯科検診が行われている場合です。一部の研究では、15年以上にわたって機能するケースも報告されています。
ブリッジの寿命に影響を与える要因
適切なメンテナンスと生活習慣の改善により、ブリッジの生存率を向上させることができます。定期的な歯科検診と専門的なケアを受けることで、ブリッジ治療の効果を長く維持することができます。
- 口腔衛生
定期的なブラッシングとフロッシング、プロフェッショナルクリーニングがブリッジの寿命を延ばす重要な要因です。 - 歯科医師の技術
高い技術を持つ歯科医師による治療は、ブリッジの生存率を向上させます。 - 使用材料
高品質な材料を使用することで、ブリッジの耐久性が向上します。 - 生活習慣
喫煙や過度なアルコール摂取は、ブリッジの寿命を短くする可能性があります。 - 咬合力
強い噛み合わせや不正咬合は、ブリッジに過度なストレスを与えるため、寿命を短くする要因となります。
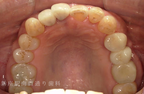
ブリッジの症例紹介
CASE.01
左下のフルジルコニアブリッジで
修復した症例
-
- 主訴
- 歯がないところを治したい
-
- 治療法
- 左下にフルジルコニアブリッジで修復
-
- 治療期間
- 1ヶ月半
-
- 費用
- ¥240,000(税込)
【リスク・副作用】
過度の咬合や衝撃で割れることがあります。治療直後は歯や歯茎に一時的な違和感や痛みが出ることがあります。
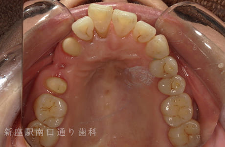
CASE.02
左上のフルジルコニアブリッジで
修復した症例
-
- 主訴
- 歯がないところを治したい
-
- 治療法
- 左上にフルジルコニアブリッジで修復
-
- 治療期間
- 1ヶ月半
-
- 費用
- ¥240,000(税込)
【リスク・副作用】
過度の咬合や衝撃で割れることがあります。治療直後は歯や歯茎に一時的な違和感や痛みが出ることがあります。
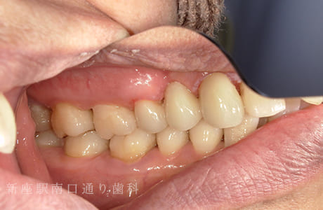
CASE.03
右下6番が破折抜歯後に
フルジルコニアブリッジで修復した症例
-
- 主訴
- 歯がないところを治したい
-
- 治療法
- 右下にフルジルコニアブリッジで修復
-
- 治療期間
- 1ヶ月半
-
- 費用
- ¥240,000(税込)
右下6番が破折し抜歯後にフルジルコニアブリッジで修復したです。
【リスク・副作用】
過度の咬合や衝撃で割れることがあります。治療直後は歯や歯茎に一時的な違和感や痛みが出ることがあります。
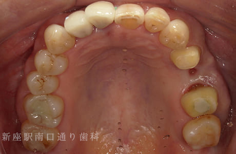
CASE.04
右上にフルジルコニアブリッジで
修復した症例
-

術前
-

術中
-

術後年
-
- 主訴
- 歯がないところを治したい
-
- 治療法
- 右上にフルジルコニアブリッジで修復
-
- 治療期間
- 1ヶ月半
-
- 費用
- ¥280,000(税込)
【リスク・副作用】
過度の咬合や衝撃で割れることがあります。治療直後は歯や歯茎に一時的な違和感や痛みが出ることがあります。
ブリッジ治療の一般的なリスク・副作用
当院は医療広告ガイドラインに遵守したホームページ制作に努めおりますので、ブリッジ治療の一般的なリスク・副作用を記載させて頂いております。
- 過度の咬合や衝撃で割れることがあります。治療直後は歯や歯茎に一時的な違和感や痛みが出ることがあります。
- ブリッジ治療の際、隣接する健康な歯を支えとして削る必要があります。これにより、健康な歯に負担がかかる可能性があります。
- ブリッジの周囲の歯や歯肉は、適切なケアを行わないと虫歯や歯周病のリスクが高まります。特に、ブリッジと周囲の歯の隙間に食べ物のかすや細菌が溜まりやすくなるため、日々のホームケアと定期的な歯科医院でのメンテナンスが必要です。
- 隣接歯への負担により、結合が弱まればブリッジの安定性や寿命にも影響があります。ブリッジが正確にフィットしていない場合やケアが不十分な場合、問題が生じることがあります。
- ブリッジが正確にフィットしていない場合やケアが不十分な場合、歯髄へのダメージが蓄積され、虫歯や歯周病が発生するリスクが高まります。定期的な歯科医院でのメンテナンスが必要です。
RESERVATION
ご予約はこちらから
048-423-8881
平日 10:00-13:30 / 15:00-19:00
土曜 9:30-13:00 / 14:00-18:00
日曜 9:00-13:00 / 14:00-17:00
休診日:火曜、祝日











